1. ArchDaily
  2. Impresora 3D

Impresora 3D: Las más recientes noticias y obras de arquitectura

BuildTech: Cómo las nuevas tecnologías están dando lugar a nuevas formas de diseñar y construir arquitectura

A medida que el campo constructivo evoluciona, los nuevos avances han comenzado a dar lugar a nuevas formas de diseñar y pensar arquitectura. Estos desplazamientos son el resultado de la convergencia de nuevas tecnologías constructivas y de diversas ideas compartidas, abriendo un camino lleno de nuevas posibilidades para la construcción. Abarcando cuestiones tales como las propiedades físicas de los materiales, la prefabricación de casas y los diseños para planetas lejanos, los cambios en BuildTech (o ConstruTech) se encuentran actualmente presentes en todas las industrias. Como resultado, las disciplinas se nutren entre sí, aprendiendo unas de otras para repensar la construcción.

BuildTech: Cómo las nuevas tecnologías están dando lugar a nuevas formas de diseñar y construir arquitectura - Image 1 of 4BuildTech: Cómo las nuevas tecnologías están dando lugar a nuevas formas de diseñar y construir arquitectura - Image 2 of 4BuildTech: Cómo las nuevas tecnologías están dando lugar a nuevas formas de diseñar y construir arquitectura - Image 3 of 4BuildTech: Cómo las nuevas tecnologías están dando lugar a nuevas formas de diseñar y construir arquitectura - Image 4 of 4BuildTech: Cómo las nuevas tecnologías están dando lugar a nuevas formas de diseñar y construir arquitectura - Más Imágenes+ 5

Construcción sin humanos: cómo la evolución de la tecnología impacta en el diseño

La industria de la construcción ha evolucionado a lo largo del tiempo, pero siempre a través de los constructores. ¿Qué sucede cuando las personas ya no son parte del edificio y la construcción? Esta es la pregunta formulada por la empresa multinacional británica de infraestructura Balfour Beatty, y han publicado su respuesta en el 2050 Innovation Paper. El informe de la industria se ha convertido en un punto de referencia para quienes observan la evolución de los edificios y el diseño.

Construcción sin humanos: cómo la evolución de la tecnología impacta en el diseño - Image 1 of 4Construcción sin humanos: cómo la evolución de la tecnología impacta en el diseño - Image 2 of 4Construcción sin humanos: cómo la evolución de la tecnología impacta en el diseño - Image 3 of 4Construcción sin humanos: cómo la evolución de la tecnología impacta en el diseño - Image 4 of 4Construcción sin humanos: cómo la evolución de la tecnología impacta en el diseño - Más Imágenes+ 4

Arquitectura por capas: ¿Qué es la fabricación aditiva?

Fabricación Aditiva (AM) es el término utilizado para identificar los procesos de fabricación que se realizan comúnmente mediante la impresión 3D, a través de la elaboración por capas. Además de evitar la generación de desechos –al trabajar con geometrías precisas y utilizando la cantidad exacta de material–, estos procesos controlados pueden ser mucho más rápidos que los métodos tradicionales, ya que no requieren de utillajes u otras herramientas.

La fabricación aditiva se realiza con base en un modelo digital, en un flujo que comienza en el diseño CAD o el escaneo en tres dimensiones, para luego traducir esa forma a un objeto dividido en secciones, permitiendo así su impresión. Su uso se ha extendido desde el diseño industrial hasta la réplica de objetos arqueológicos, pasando por la fabricación de órganos y tejidos humanos artificiales, entre muchos otros usos.

A 50 años de la llegada a la Luna: 15 proyectos de arquitectura para conquistar el espacio

El pasado sábado 20 de Julio se cumplieron cincuenta años desde que la misión espacial Apollo 11, enviada al espacio el 16 de julio de 1969, arribó a la superficie Lunar. Ese momento quedaría registrado como un hito en la historia de la humanidad y al día de hoy aun nos hace reflexionar sobre de qué manera el progreso tecnológico podría llevarnos a conseguir condiciones de habitabilidad fuera del planeta Tierra.

Con impresoras 3d, sistemas automatizados y tecnología constructiva de máximo desarrollo como denominador común, presentaremos a continuación 15 proyectos de desarrollo arquitectónico que demuestran que en un futuro no muy lejano la humanidad podría llegar a colonizar el espacio.

ETH Zurich desarrolla columnas de concreto impresas en 3D

ETH Zurich ha presentado detalles de "Concrete Choreography", una instalación recientemente inaugurada en Riom, Suiza. La instalación presenta el primer escenario de concreto impreso en 3D de forma robótica, que consiste en columnas fabricadas sin encofrado e impresas a su altura máxima en 2,5 horas. Se espera que el proceso mejore en gran medida la eficiencia de la construcción de concreto y logre la fabricación de componentes complejos.

AI SpaceFactory gana el desafío de la NASA para poder habitar Marte

El proyecto AI SpaceFactory ha sido el ganador del primer lugar en el Desafío del Centenario de la NASA, con la propuesta MARSHA, que ofrece una visión de cómo sería el futuro de la vida humana en Marte. La agencia especializada en arquitectura y tecnología desarrolló un prototipo en impresión 3D de 3 metros de altura con 3 ventanas colocadas de forma robótica durante la fase final de la competencia.

AI SpaceFactory gana el desafío de la NASA para poder habitar Marte  - Image 1 of 4AI SpaceFactory gana el desafío de la NASA para poder habitar Marte  - Image 2 of 4AI SpaceFactory gana el desafío de la NASA para poder habitar Marte  - Image 3 of 4AI SpaceFactory gana el desafío de la NASA para poder habitar Marte  - Image 4 of 4AI SpaceFactory gana el desafío de la NASA para poder habitar Marte  - Más Imágenes+ 28

Estos 13 diseños de IKEA facilitan (e igualan) la vida de personas con discapacidad

El desconocimiento general de los arquitectos en relación a los requerimientos de las personas en situación de discapacidad es algo preocupante. Porque más allá de cumplir con las normativas obligatorias, diferentes en cada país, la calidad de vida de las personas depende de factores específicos y cotidianos que van más allá de una baranda o una rampa, y que muchas veces dejamos en manos de otros profesionales que quizás nunca aparecerán.

This Ables, un proyecto desarrollado por IKEA y las organizaciones sin fines de lucro Milbat y Access Israel, es un buen ejemplo de cómo contribuir a esta igualdad a través de simples pero valiosos detalles. Desde manillas que permiten abrir una puerta con el antebrazo hasta un elevador de sofás para sentarse y levantarse fácilmente, estos 13 productos están disponibles para el público general en ThisAbles.com, y algunos de ellos pueden imprimirse en 3D de forma independiente.

Revisa un video con más detalles, a continuación.

La edad de oro de la impresión 3D: innovaciones que cambian la industria

La impresión 3D en sí misma ya no es una tecnología nueva, pero eso no ha impedido que los investigadores e innovadores de todo el mundo presenten nuevas aplicaciones y oportunidades. Algunos experimentos con nuevos materiales han sido impulsados por preocupaciones con respecto a la sostenibilidad y otros son simplemente el resultado de la imaginación y la creatividad. Otros han optado por invertir su tiempo utilizando materiales más tradicionales de nuevas maneras. Los materiales, sin embargo, son solo el comienzo. Los investigadores han desarrollado nuevos procesos que permiten la creación de objetos que antes eran imposibles de imprimir y, a mayor escala, se están probando nuevas tipologías de edificios, ¡incluido un hábitat en el planeta Marte!

Print Your City: mobiliario urbano impreso con residuos plásticos

La oficina holandesa The New Raw ha presentado Zero Waste Lab, una iniciativa de investigación en la que los ciudadanos griegos pueden transformar basura plástica en mobiliario urbano para la ciudad de Tesalónica. Como parte del proyecto Print Your City, la iniciativa utiliza un brazo robótico y dispositivos de reciclaje para crear piezas personalizadas de mobiliario que cierran el ciclo de los residuos de plástico. La iniciativa pretende usar fragmentos de productos reciclados para rediseñar espacios públicos dentro de las ciudades.

Print Your City: mobiliario urbano impreso con residuos plásticos - Image 1 of 4Print Your City: mobiliario urbano impreso con residuos plásticos - Image 2 of 4Print Your City: mobiliario urbano impreso con residuos plásticos - Image 3 of 4Print Your City: mobiliario urbano impreso con residuos plásticos - Image 4 of 4Print Your City: mobiliario urbano impreso con residuos plásticos - Más Imágenes+ 21

China inaugura el puente peatonal impreso en 3D más largo del mundo

Shanghai ha inaugurado el puente peatonal impreso en 3D más largo del mundo. Diseñado por Xu Weiguo, académico de la Facultad de Arquitectura de la Universidad de Tsinghua (Zoina Land Joint Research Center for Digital Architecture), la estructura alcanza los 26,3 metros de largo y está inspirado en el histórico puente Anji en Zhaoxian, China.

China inaugura el puente peatonal impreso en 3D más largo del mundo - Image 1 of 4China inaugura el puente peatonal impreso en 3D más largo del mundo - Image 2 of 4China inaugura el puente peatonal impreso en 3D más largo del mundo - Image 3 of 4China inaugura el puente peatonal impreso en 3D más largo del mundo - Image 4 of 4China inaugura el puente peatonal impreso en 3D más largo del mundo - Más Imágenes+ 15

Peso vs ligereza: Esta mesa se posa sobre delgadas patas de acero inoxidable

Una mesa robusta y ligera es un oxímoron, o mejor dicho, era. El ímpetu en este diseño fue el darse cuenta de esa misma contradicción. Una mesa masiva normalmente requeriría de una estructura robusta y de patas bajo su superficie. En la conceptualización del proyecto, el equipo intentó desmaterializar la estructura de la mesa, entregando una sensación de inestabilidad al crear una superficie visualmente sólida soportada por una malla increíblemente delgada. El atrevido diseño habla de la identidad del cliente: un centro de investigación que busca ampliar los límites del diseño y la fabricación utilizando la tecnología y la ciencia.

Peso vs ligereza: Esta mesa se posa sobre delgadas patas de acero inoxidable - Image 1 of 4Peso vs ligereza: Esta mesa se posa sobre delgadas patas de acero inoxidable - Image 2 of 4Peso vs ligereza: Esta mesa se posa sobre delgadas patas de acero inoxidable - Image 3 of 4Peso vs ligereza: Esta mesa se posa sobre delgadas patas de acero inoxidable - Image 4 of 4Peso vs ligereza: Esta mesa se posa sobre delgadas patas de acero inoxidable - Más Imágenes+ 7

MX3D revela el primer puente de acero inoxidable del mundo impreso en 3D

La compañía holandesa de robótica MX3D ha presentado el primer puente de acero inoxidable impreso en 3D en el mundo en la Dutch Design Week en Holanda. El puente, creado para ser instalado en uno de los canales más antiguos y famosos del centro de Ámsterdam, fue creado por el diseñador Joris Laarman.

Ahora tanto el tramo como la cubierta están completos. Equipando robots industriales con herramientas especialmente diseñadas, el proyecto muestra las aplicaciones potenciales de la tecnología de impresión 3D de ejes múltiples.

MX3D revela el primer puente de acero inoxidable del mundo impreso en 3D  - Image 1 of 4MX3D revela el primer puente de acero inoxidable del mundo impreso en 3D  - Image 2 of 4MX3D revela el primer puente de acero inoxidable del mundo impreso en 3D  - Image 3 of 4MX3D revela el primer puente de acero inoxidable del mundo impreso en 3D  - Image 4 of 4MX3D revela el primer puente de acero inoxidable del mundo impreso en 3D  - Más Imágenes+ 2

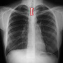
Tonkin Liu crea dispositivo médico inspirado en estructuras arquitectónicas

Anna Liu y Mike Tonkin de Tonkin Liu, con sede en Londres, han desarrollado un dispositivo médico innovador para usar en las tráqueas de los pacientes. El stent prototipo se basa en la firma Shell Lace Structure de la firma, una "tecnología estructural de superficie única diseñada y desarrollada a lo largo de una década de investigación para aplicaciones de arquitectura e ingeniería".

El prototipo impreso en 3D es 500 veces más pequeño que los utilizados por la firma para sus aplicaciones arquitectónicas y se desarrolló en colaboración con Arup y el Museo de Historia Natural.

Tonkin Liu crea dispositivo médico inspirado en estructuras arquitectónicas - Image 1 of 4Tonkin Liu crea dispositivo médico inspirado en estructuras arquitectónicas - Image 2 of 4Tonkin Liu crea dispositivo médico inspirado en estructuras arquitectónicas - Image 3 of 4Tonkin Liu crea dispositivo médico inspirado en estructuras arquitectónicas - Image 4 of 4Tonkin Liu crea dispositivo médico inspirado en estructuras arquitectónicas - Más Imágenes+ 5

Dubai planifica imprimir en 3D el 25% de sus nuevos edificios en 2025

Dubai lanzó 3D Printing Strategy, una iniciativa global para convertir a la ciudad en el líder mundial en impresión 3D. La iniciativa está diseñada para promover el estado de los Emiratos Árabes Unidos y Dubai como un centro líder de tecnología de impresión 3D.

El Jeque Mohammed bin Rashid Al Maktoum, Vicepresidente y Primer Ministro de los Emiratos Árabes Unidos y Gobernante de Dubai, ha creado el plan para que un 25% de los nuevos edificios se impriman en 3D de aquí a 2025. La estrategia espera utilizar la impresión 3D para reducir costos en el sector médico y de la construcción y reestructurar las economías y los mercados laborales.

Dubai planifica imprimir en 3D el 25% de sus nuevos edificios en 2025 - Image 1 of 4Dubai planifica imprimir en 3D el 25% de sus nuevos edificios en 2025 - Image 2 of 4Dubai planifica imprimir en 3D el 25% de sus nuevos edificios en 2025 - Image 3 of 4Dubai planifica imprimir en 3D el 25% de sus nuevos edificios en 2025 - Image 4 of 4Dubai planifica imprimir en 3D el 25% de sus nuevos edificios en 2025 - Más Imágenes

NASA apoya proyecto de cápsulas impresas en 3D para astronautas en Marte

Días después que la NASA ha confirmado la presencia de agua líquida en Marte, la compañía AI SpaceFactory ha presentado detalles de su proyecto en el marco de 3D Printed Habitat Challenge, competición organizada por la NASA. Conocido como MARSHA, el proyecto fue uno de los cinco diseños elegidos por la NASA para su desarrollo, recibiendo un premio de más de 20.000 dólares.

El concurso pidió a los participantes diseñar una estructura habitable en Marte para un equipo de cuatro astronautas. Evaluados por su grado de innovación, calidad arquitectónica y nivel de detalle en modelación BIM, los proyectos debían ser pensados para su construcción en impresión 3D.

NASA apoya proyecto de cápsulas impresas en 3D para astronautas en Marte - Image 1 of 4NASA apoya proyecto de cápsulas impresas en 3D para astronautas en Marte - Image 2 of 4NASA apoya proyecto de cápsulas impresas en 3D para astronautas en Marte - Image 3 of 4NASA apoya proyecto de cápsulas impresas en 3D para astronautas en Marte - Image 4 of 4NASA apoya proyecto de cápsulas impresas en 3D para astronautas en Marte - Más Imágenes+ 21

WORKac diseña una vivienda 'Invisible' en la azotea de un antiguo edificio

A primera vista, el Edificio Stealth parece un edificio de departamentos restaurado a su estado prístino. Esto sucede porque técnicamente, lo es. Pero con una inspección más cercana, el edificio del Bajo Manhattan está plagado de innovadoras prácticas de restauración y renovación por parte de WORKac.

WORKac diseña una vivienda 'Invisible' en la azotea de un antiguo edificio - Image 1 of 4WORKac diseña una vivienda 'Invisible' en la azotea de un antiguo edificio - Image 2 of 4WORKac diseña una vivienda 'Invisible' en la azotea de un antiguo edificio - Image 3 of 4WORKac diseña una vivienda 'Invisible' en la azotea de un antiguo edificio - Image 4 of 4WORKac diseña una vivienda 'Invisible' en la azotea de un antiguo edificio - Más Imágenes+ 18

Fusionando la artesanía y la fabricación digital: un pabellón experimental de ladrillos cerámicos en China

Uniendo la inteligencia material de las artesanías vernaculares con la precisión y la flexibilidad que entregan las nuevas tecnologías de fabricación y diseño digital, el Laboratorio de Fabricación Robótica de la Facultad de Arquitectura de HKU ha desarrollado el "Pabellón de Información Cerámica" (CeramicINformation Pavilion), con el objetivo de encontrar niveles adecuados de automatización para ser utilizados en favor de las economías emergentes y en transición.

Parte de una serie en evolución, cada uno de sus 1000 componentes es único y se relaciona específicamente con sus unidades vecinas. Los elementos se construyen a través de la impresión 3D y son de ladrillo de terracota, material comúnmente utilizado en la construcción china moderna.

La impresión 3D se fusiona con la artesanía tailandesa para crear estructuras habitables de concreto

Siam Research and Innovation Company (SRI) es un fabricante de cemento con sede en Tailandia que genera constantemente innovaciones para empujar los límites de la impresión 3D en relación a la arquitectura. Su proyecto 'Triple S' –desarrollado en 2017– se basa en la artesanía tradicional tailandesa para generar superficie, estructura y refugio (Surface / Structure / Shelter) en un solo proceso; su forma artesanal específica genera un atractivo marco para fines estructurales, construyendo espacios habitables fácilmente.

La impresión 3D se fusiona con la artesanía tailandesa para crear estructuras habitables de concreto - Image 1 of 4La impresión 3D se fusiona con la artesanía tailandesa para crear estructuras habitables de concreto - Image 2 of 4La impresión 3D se fusiona con la artesanía tailandesa para crear estructuras habitables de concreto - Image 3 of 4La impresión 3D se fusiona con la artesanía tailandesa para crear estructuras habitables de concreto - Image 4 of 4La impresión 3D se fusiona con la artesanía tailandesa para crear estructuras habitables de concreto - Más Imágenes+ 17